新闻中心
【名科领航】95%气管梗阻命悬一线,东直门医院呼吸病中心王洪武主任团队半小时紧急置入支架抢回生机
当气管仅剩5%缝隙,
每一次呼吸都堪称“生死考验”!

近日,北京中医药大学东直门医院呼吸病中心王洪武主任再次上演生死救援,为一名因食管癌引发气管狭窄的危重患者紧急施救,半小时内于软镜下成功置入Y形金属覆膜支架,精准打通堵塞的气道,让患者从呼吸困难的危急状态中重获生机。
病情回顾
患者W先生(化名),62 岁,确诊食管中分化鳞癌。近3天喘憋加重、无法平卧,于2026年1月2日下午紧急入住某院急诊科。给氧后,患者仍危重,呼吸困难、张口呼吸、面色青紫,血氧饱和度持续下降,生命体征不稳。院方建议尽快转至东直门医院通州院区行呼吸内镜介入术。
家属焦急万分,找到东直门医院门诊挂号处付建国主任。付主任联系呼吸病中心王洪武主任,此时正值元旦假期,王主任在回家路上,他第一时间远程查阅W先生资料及胸部CT,迅速完成精准评估,发现其气管中段管腔严重狭窄伴食管纵隔瘘。
急诊竞速

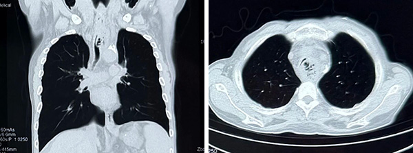
CT可见气管中段管腔严重狭窄伴食管纵隔瘘(左图为矢状位,右图为冠状位)
“气道狭窄程度极高,患者无法脱离氧气,必须立即置入气道支架解除梗阻!”,王洪武主任没有丝毫迟疑,当即表示接受患者转院治疗,并指示呼吸道梗阻抢救绿色通路,同时火速赶往医院。随即通知麻醉科医师王海丽、呼吸科二区值班医师张艳宾做好接收准备,备班医师陈双、护士赵行健及进修医师山萌在接到通知后,均毫不犹豫放弃假期,即刻动身赶往医院集结。W先生及家属赶到急诊室后立即办理住院手续,并快速送到门诊手术室进行抢救。
硬核救援
这一场生死救援,离不开多学科团队的紧密协作。麻醉科团队医师王海丽凭借丰富的急诊麻醉经验,全程严密监测患者生命体征,精准调控麻醉深度,为W先生筑牢术中安全防线;手术室护士、呼吸介入专科护士提前准备好各类器械、耗材,全程默契配合王洪武主任团队,从体位摆放、生命体征实时监测,到术中器械传递、耗材补给,每一个环节都精准高效、无缝衔接。
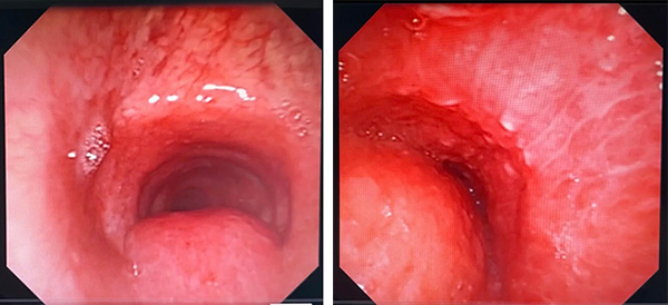
由于W先生病情危重,难以承受肌松麻醉,王洪武主任当机立断,敲定“软镜下Y形金属覆膜支架置入术”这一最优替代方案。随后,他亲自操作,团队成员全程协助,采用全麻下经口进软镜的方式开展操作,进镜后于中央气道Ⅰ区约声门下2cm处见膜部隆起致管腔狭窄约30%,中央气道Ⅱ区距隆突上5cm处外压型管腔狭窄约95%,病变长度约3cm,狭窄处气道几乎闭塞,这正是患者术前呼吸困难、无法平卧的核心原因。

支气管镜可见中央气道Ⅰ区狭窄30%;中央气道Ⅱ区狭窄95%
最终团队于气管镜直视下置入Y形金属覆膜支架,支架位置精准、释放完全。整个手术操作规范、流程顺畅,全程仅耗时半小时即顺利完成。“血氧饱和度上来了!95%、98%……稳定了!”术后即刻,手术室里传来振奋的通报声,W先生喘息症状显著缓解,呼吸困难改善,生命体征平稳,片刻转危为安。

Y形金属覆膜支架置入后

术后W先生安返病房,王洪武主任当即带领团队成员前往病房查房,仔细询问其术后感受、查看生命体征监测数据,叮嘱后续护理注意事项。W先生及守在病床旁的家属见王主任团队到来,脸上均露出欣慰的笑容,言语间满是对医护团队假期驰援、全力施救的认可与感恩。

第二天复查CT,气管狭窄完全缓解,支架位置良好
诊疗启示
“精准评估、微创优先”,食管癌所致外压性大气道狭窄属危重并发症,如不积极救治,患者将很快窒息死亡。作为中国呼吸介入治疗奠基人之一,东直门医院王洪武主任在呼吸内镜应用领域造诣深厚,擅长各类复杂气道病变微创诊治,曾成功挽救无数危重病例,这也为此次紧急救治的成功奠定了坚实基础。
王洪武主任首提的“中央气道疾病诊断的六定法则”为大气道狭窄精准定位提供关键支撑,而呼吸内镜介入凭借微创、精准、高效、可重复等优势,已成为气道狭窄、肺部肿瘤等疾病的主要介入治疗手段之一。此次急诊救援的成功,是王洪武教授团队无数次与死神博弈的缩影,是北京中医药大学东直门医院在呼吸内镜介入领域雄厚实力的有力彰显,也标志着东直门医院在该领域的领先地位。未来,团队将再接再厉,进一步提高呼吸内镜介入技术,守护广大患者呼吸健康!
作者:李 媛 山 萌
编辑:于嵩洋
审核:王洪武 刘丽娟
审阅:刘子旺

